Skip to main content

The Uterine Lining: Checklist for Successful Embryo Transfer and Implantation

For a successful embryo transfer and implantation, several factors related to the uterine lining (endometrium) must be checked:


1. Endometrial Thickness

  • Optimal range: 7–14 mm on the day of progesterone start (FET) or trigger (fresh cycle).
  • Too thin (<7 mm): May reduce implantation chances.
  • Too thick (>14 mm): Could indicate inflammation or poor receptivity.

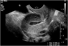
2. Endometrial Pattern

  • Ideal pattern: Triple-line (trilaminar) appearance on ultrasound before embryo transfer.
  • This pattern indicates good estrogen responsiveness and better chances of implantation.
  • Non-ideal pattern: Homogeneous (hyperechoic) lining may indicate suboptimal implantation conditions.

3. Endometrial Blood Flow

  • Good blood flow to the endometrium improves implantation rates.
  • Doppler ultrasound can assess blood flow quality.
  • Poor blood flow may require treatment (e.g., L-Arginine, Vitamin E, or Sildenafil).

4. Endometrial Receptivity (ERA Test - Optional)

  • Endometrial Receptivity Analysis (ERA) can be done in certain cases to check if the lining is receptive on the day of transfer.
  • Helps identify if progesterone timing needs adjustment.
  • Recommended for patients with repeated implantation failures.

5. Presence of Any Abnormalities

  • Polyps, fibroids, adhesions, or hydrosalpinx (fluid in fallopian tubes) can reduce implantation rates.
  • Hysteroscopy or saline sonography (SIS) may be needed if abnormalities are suspected.

6. Hormonal Readiness (E2 & P4 Levels)

  • Estradiol (E2): Should be 200–350 pg/mL before progesterone starts in FET.
  • Progesterone (P4): Should be <1.5 ng/mL before starting progesterone supplementation.
  • High progesterone before transfer can lead to endometrial asynchrony and implantation failure.

Key Takeaways for a Successful Embryo Transfer

Endometrial Thickness: 7–14 mm
Triple-line Pattern on ultrasound
Good Blood Flow (Doppler assessment)
No Polyps, Fibroids, or Adhesions
Proper Hormone Levels (E2 & P4 in the right range)
ERA Test (if needed in repeated failures)


Disclaimer

The information provided in this blog is for educational and informational purposes only and is not intended as medical advice. While every effort has been made to ensure accuracy, the content is based on general research, nutritional principles, and personal insights.

Individual health conditions, fertility treatments, and dietary needs vary from person to person. Always consult with your fertility specialist, doctor, or a registered dietitian before making any changes to your diet, supplements, or treatment plan, especially during fertility treatments like IVF, IUI, or embryo transfer.

This blog does not claim to diagnose, treat, cure, or prevent any medical conditions. The author and publisher are not responsible for any adverse effects resulting from the use of the information provided.

If you have any specific medical concerns, please seek professional medical advice from a qualified healthcare provider.

Comments

Popular posts from this blog

What is the Optimal Progesterone Level a Day Before Embryo Transfer?

For a Frozen Embryo Transfer (FET) , the ideal serum progesterone level one day before embryo transfer depends on whether progesterone is given via injections, vaginal tablets, or both. 📌 Ideal Progesterone Levels (One Day Before Embryo Transfer) ✅ Above 10 ng/mL (30-40 nmol/L) if taking progesterone injections . ✅ Above 10-15 ng/mL (30-50 nmol/L) if using vaginal progesterone (Susten 400mg). ✅ Below 1.5 ng/mL (5 nmol/L) before starting progesterone – If progesterone was not started at the right time, high levels before transfer might indicate early exposure, which can affect implantation. 🚨 Why Is Progesterone Important? ✔ Supports endometrial receptivity – Ensures the lining is ready for implantation. ✔ Reduces uterine contractions – Prevents early embryo dislodgment. ✔ Prepares for pregnancy maintenance – Prevents early miscarriage risk. 📌 What If Progesterone Is Low Today? 🔹 Below 10 ng/mL? – Doctor may increase progesterone injection dosage or add vagina...

How Long Does it Take for a Day 5 (Blastocyst) Embryo to Implant?

Implantation timing depends on the stage of the blastocyst at the time of transfer. Here’s a general guideline: Approximate Timeline for Blastocyst Implantation Blastocyst Stage at Transfer Implantation Timing Days Post Transfer (DPT) Day 5 Blastocyst (Expanded or Hatching) 24–48 hours 1–2 Days Post Transfer (DPT) Day 6 Blastocyst (Hatching/Expanded) 12–24 hours Same Day or 1 Day Post Transfer (DPT) Since your blastocyst was transferred at 12 PM , implantation typically occurs: ✅ Between 1–2 days post-transfer for a Day 5 blastocyst (approx. next day 12 PM to 48 hours later ). ✅ Within 12–24 hours for a Day 6 blastocyst (possibly even same evening or next morning ). Key Factors Affecting Implantation Timing Endometrial Receptivity (thickness, progesterone levels). Blastocyst Quality (grading, hatching status). Uterine Environment (blood flow, inflammation). Signs of Implantation (2-5 Days Post Transfer) 🔹 Light spotting (implantation bleeding). 🔹 Mild cram...

Hormone Levels to Check Before Embryo Transfer for Successful Implantation

Before an embryo transfer , several hormone levels should be checked to ensure the best chances of implantation and a successful pregnancy. The key hormones to assess include: 1. Estradiol (E2) - Estrogen Role: Ensures the endometrium is thick and receptive . Recommended range: Fresh cycle (after egg retrieval, before transfer): 2000–4000 pg/mL Frozen embryo transfer (FET) cycle (before progesterone starts): 200–350 pg/mL Low E2 (<150 pg/mL) may indicate poor endometrial development. Very high E2 (>5000 pg/mL) may indicate ovarian hyperstimulation syndrome (OHSS), which can reduce implantation success. 2. Progesterone (P4) - Luteal Support Role: Ensures the endometrium is mature and ready for implantation. Recommended range: Before embryo transfer in FET cycles: <1.5 ng/mL before starting progesterone supplementation. During the luteal phase (post-transfer, on supplementation): Fresh cycle: >10 ng/mL (ideally 15–20 ng/mL ). Frozen cycle (on ...